LetPub助力4篇文章顺利发表在SCI期刊Scientific Reports(最 .新中科院SCI期刊分区:综合性期刊3区,IF 3.8),评论可以沾沾好运~

最 .新4篇已文章分别如下:

现以最近一篇《Tumor associated chromosomal instability drives colorectal adenoma to adenocarcinoma progression based on 17 year follow up evidence》为例分享。
结直肠癌(CRC)是全球癌症相关死亡的主要原因之一,其前驱病变为腺瘤,尽管可早期诊断,但其转化为腺癌的遗传机制尚不明确。本研究基于119例腺瘤患者的17年随访数据,采用低覆盖全基因组测序(LC-WGS)及超灵敏染色体非整倍体检测技术,探索染色体不稳定性(CIN)在腺瘤向腺癌转化中的作用。
结果发现,32%的腺瘤样本存在CIN,且在高级别腺瘤中比例更高(P = 0.0359)。常见染色体异常包括18q、1p、17p缺失,以及8q(MYC)、20q、7p(EGFR)等区域扩增。在随访期间,88例患者出现复发,其中40例为腺瘤复发,48例为进展为腺癌。CIN在进展为腺癌的患者中出现率为40%,在腺瘤复发者中为33.6%,在无复发者中为26%。CIN显著关联于疾病进展(HR = 2.5, 95%CI: 1.4–4.5, P = 0.00162),为独立风险因素。
此外,MFN2基因拷贝数缺失与术后复发/进展密切相关,其在肿瘤组织中表达水平降低。综上,CIN是腺瘤复发及恶变的重要风险因子,MFN2基因异常也提示不良预后,对临床预测腺瘤-腺癌转化具有指导意义。
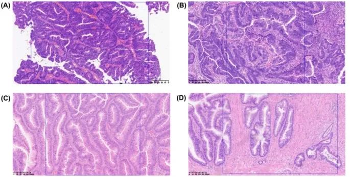
图 2.腺瘤切除术后进展为腺癌病例的组织病理切片图像。
病例1:
(A) 2005年首次腺瘤切除的病理样本,确诊为绒毛状管状腺瘤,伴高级别上皮内瘤变。
(B) 7年后行直肠切除术,标本显示隆起的绒毛状管状腺瘤合并癌变。病理诊断为高度分化腺癌,浸润至黏膜下层(紧邻固有肌层),无淋巴结转移(0/13),切缘阴性。
病例2:
(C) 2019年首次切除的腺瘤病理样本,诊断为乙状结肠绒毛状管状腺瘤,伴低级别上皮内瘤变。
(D) 2年后复发切除标本,确诊为结肠高度分化腺癌,伴淋巴结反应性增生。
图 3.来自两例复发患者的肿瘤样本及其对应早期腺瘤样本的拷贝数图,其中 y 轴表示拷贝数(标准化 log₂ 比值),x 轴表示染色体位置。
(A) 第1例患者的初次腺瘤切除样本。
(B) 第1例患者进展为腺癌后的切除样本。
(C) 第2例患者的初次腺瘤切除样本。
(D) 第2例患者进展为腺癌后的切除样本。
图 4.腺瘤切除后复发样本中染色体拷贝数变化的热图。
黄色表示拷贝数增加,蓝色表示拷贝数减少。
第1组表示首次切除的腺瘤样本中存在染色体不稳定性(CIN),且复发的腺癌样本中同样存在CIN。
第2组表示首次切除的腺瘤中无CIN,而复发的腺癌中存在CIN。
第3组表示首次切除的腺瘤与复发的腺癌中均无CIN(本研究中未检测到该类型)。
第4组表示首次切除的腺瘤中存在CIN,但复发中未见癌变。
第5组表示首次腺瘤切除中无CIN,且复发中未见癌变。

图 5.探索腺瘤切除后进展为腺癌的风险因素。
(A) 单变量 Cox 回归分析评估腺瘤切除后发生腺癌的风险。
(B) Kaplan–Meier 生存分析用于探讨染色体不稳定性(CIN)对肿瘤发生风险的影响。红色代表高风险,蓝色代表低风险。
图 6.MFN2 基因拷贝数变异是腺癌发生的风险因素。
(A, B) 展示最小准则下 LASSO 回归分析所绘制的 Cvfit 曲线与 Lambda 曲线。
(C) 基于 TCGA 数据库,比较肿瘤组织与正常组织中 MFN2 的表达水平。
(D) Kaplan–Meier 生存分析用于探讨 MFN2 表达水平对无病生存期(DFI)的影响。红色表示拷贝数缺失,蓝色表示拷贝数增加或无变化。
(E) 受试者工作特征曲线(ROC)显示 MFN2 拷贝数缺失在预测 1 年、3 年和 5 年无病生存期(DFI)中的潜在能力。
在本研究中,我们对119例腺瘤患者进行了为期17年的随访,并采用低覆盖全基因组测序(LC-WGS)对其初次与复发配对样本进行了分析。
结果发现,染色体不稳定性(CIN)是腺瘤初次切除后复发和/或进展的重要风险因素。更为重要的是,肿瘤与其对应前期息肉之间的拷贝数变异(CNA)模式高度一致,进一步支持腺瘤与腺癌之间存在遗传关联。
此外,MFN2基因拷贝数缺失与腺瘤初次切除后的复发和/或进展显著相关。本研究为临床预测腺瘤向腺癌进展提供了新的思路。
作者感谢LetPub(www.letpub.com)在本文稿准备过程中提供的语言支持。
更多网友投稿经验,查看:www.letpub.com.cn/index.php?journalid=8695&page=journalapp&view=detail
LetPub上线AI润色啦!1天就能返稿!只需880元!
SCI论文特训AI润色+资深美籍人工QC,先到先得!
快来试试吧!
📢LetPub提供的SCI论文英语润色服务对于稿件接收还是非常有用的!LetPub, 是多家出版社推荐的SCI论文润色机构,能够提高文章发表在1区/Top期刊的几率!