13 年
手机商铺
公司新闻/正文
1311 人阅读发布时间:2025-02-28 17:14
文章已发表在SCI期刊Cell Reports(最 .新中科院SCI期刊分区:生物学1区Top,IF 7.5),评论可以沾沾好运~

标题为:The GhCEWT1-GhCEWT2-GhCes4D/GhCOBL4D module orchestrates plant cell elongation and cell wall thickness

摘要
细胞伸长决定了细胞的大小和形状,而细胞壁则支持和保护细胞。然而,调控细胞伸长和细胞壁厚度的机制仍不明确。
在这项研究中,我们利用棉花纤维这一模型,研究了细胞伸长和细胞壁生物合成的机制,并鉴定出了一种基础-螺旋-环-螺旋(bHLH)转录因子——GhCEWT1,它既参与纤维细胞的伸长,也与细胞壁厚度的调控有关。GhCEWT1功能丧失导致纤维长度和细胞壁厚度的减少。GhCEWT1诱导了GhCEWT2的转录。我们还鉴定了GhCEWT2的两个靶基因——纤维素合成酶4D(GhCes4D)和COBRA-LIKE 4D(GhCOBL4D)。GhCEWT2增强了GhCes4D和GhCOBL4D的转录。GhCOBL4D的过表达显著增强了棉花纤维细胞的长度和细胞壁的厚度。
我们的研究揭示了一个GhCEWT1-GhCEWT2-GhCes4D/GhCOBL4D的级联调控机制,在纤维细胞伸长和细胞壁厚度调控中发挥作用。这些发现为植物细胞伸长和细胞壁形成提供了全面的理解,也为提升地球生物量提供了理论依据。
研究结果


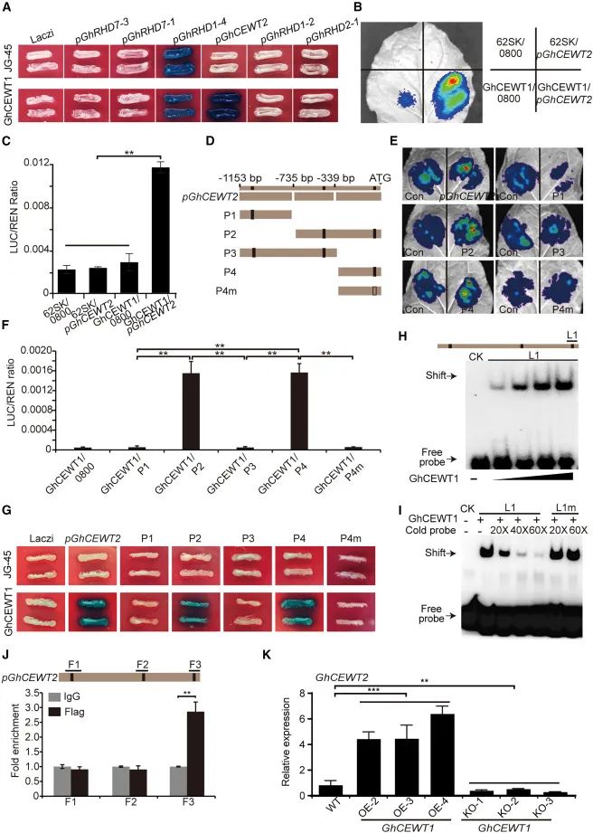
图2 GhCEWT2 是 GhCEWT1 的直接下游靶基因

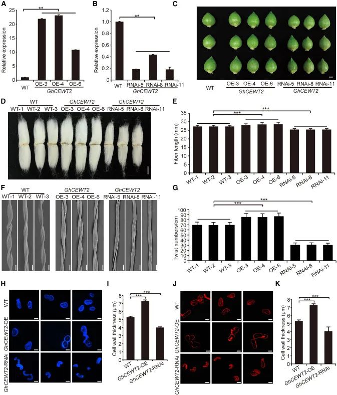
图3 GhCEWT2 正向调控纤维细胞伸长和细胞壁厚度

图4 GhCEWT2 正向调控纤维素生物合成

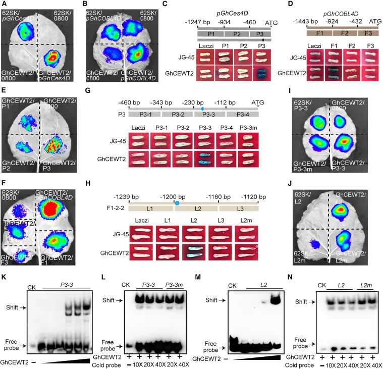
图5 GhCes4D 和 GhCOBL4D 是 GhCEWT2 的直接下游靶基因

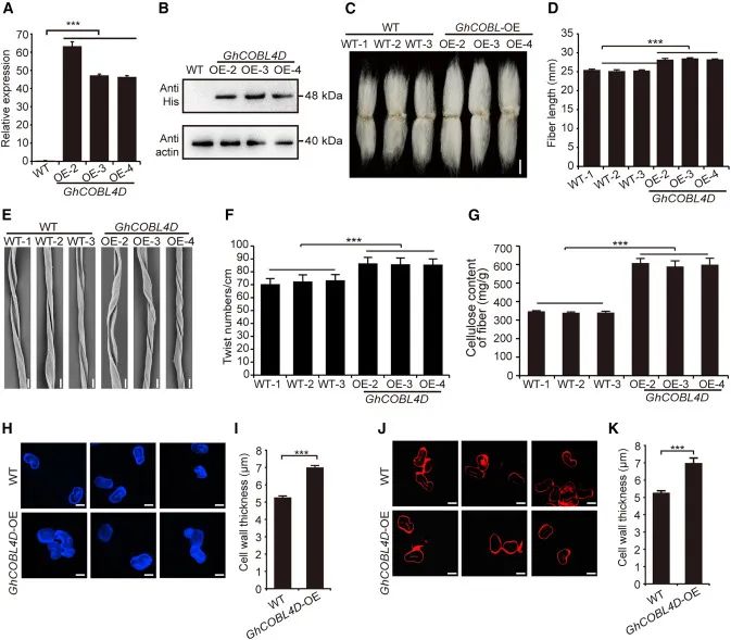
图6 GhCOBL4D 积极调节纤维细胞伸长和细胞壁厚度
研究结论
GhCEWT1-GhCEWT2-GhCes4D/GhCOBL4D级联通路在细胞伸长与细胞壁厚度中的作用
植物细胞伸长是植物生长、发育和适应的基础过程。它使植物能够达到其预期形态,响应环境刺激,并高效吸收和运输营养物质和水分。理解细胞伸长的机制和调控对于提高作物生产力、优化植物结构以及研究植物如何应对变化的环境条件至关重要。纤维素是地球上最丰富的生物聚合物,对于细胞膨胀和伸长、水分调节、营养物质运输、抗病防御、环境适应等许多过程至关重要。它的存在和特性对植物的生长、发育和生存至关重要,并且对人类有广泛的应用价值。植物细胞壁为各个行业提供了原材料,包括食品、燃料、饲料和材料。除了作为细胞生长的支架和维持植物细胞固有结构外,细胞壁还保护细胞免受非生物和生物压力的影响。细胞壁分为两类:PCW,决定细胞膨胀和植物细胞最终形态;SCW,是植物机械强度的主要来源。纤维素是SCW的一个重要组成部分。纤维素构成了植物生物量的大部分,作为一种重要的工业原料,具有生态和经济价值。
我们利用棉花纤维这一优秀的单细胞系统,研究了纤维素生物合成和植物细胞伸长的调控机制。我们发现了GhCEWT1-GhCEWT2-GhCes4D/GhCOBL4D级联通路,该通路不仅有助于植物细胞伸长,而且还调控纤维素的生物合成和植物的细胞伸长,这对于理解植物的生长发育机制并促进细胞壁生物量的高效利用至关重要。
细胞膜上的CSC主要催化纤维素的生物合成。CesA基因在植物界中广泛存在,负责催化纤维素的生物合成。拟南芥的SCW发育涉及AtCesA4、AtCesA7和AtCesA8。棉花中有四个GhCes4、四个GhCes7和两个GhCes8基因,这些基因在棉花中显著扩展,导致成熟的棉花纤维中积累大量几乎纯粹的纤维素。MYB46直接调控AtCesA4、AtCesA7和AtCesA8基因的转录,显著提高拟南芥中纤维素的结晶含量。此外,GhMYB7结合在GhCes4D的启动子区域的次生细胞壁MYB反应元件(SMRE)上,调节其转录。我们的研究确定了GhCEWT2,它是GhCes4D的特殊调控因子,可以直接结合GhCes4D启动子,调节其转录,增加纤维素含量,并最终调控棉花纤维细胞的生长。
纤维素对棉花纤维至关重要,显著影响棉花的产量和质量。成熟的棉花纤维几乎是纯纤维素,因此,理解纤维素生物合成的调控机制对于提高棉花纤维质量至关重要。GhMYB7直接结合GhCesA4、GhCesA7和GhCesA8启动子中的三个不同的顺式作用元件,调节棉花纤维次生细胞壁纤维素的生物合成。GhERF108(乙 .烯反应因子108)与GhARF7-1(生长素反应因子7-1)和GhARF7-2相互作用,增强MYB转录因子基因GhMYBL1的激活,然后它结合GhCesA4-1、GhCesA4-2和GhCesA8-1的启动子,激活其表达,增加纤维素的生成。植物激素水溶性内生素通过四个转录因子(GhNAC100-2、GhBLH51、GhGT2和GhB9SHZ1)刺激GhCesA的表达,并增强纤维素的生物合成。
本研究发现了两个特殊的组成部分,GhCEWT1和GhCEWT2,它们调控纤维素的生成。此外,我们发现GhCEWT1、GhCEWT2、GhCes4D和GhCOBL4D在SCW阶段(20 DPA)高度表达,提示它们在SCW发育中发挥作用。GhCEWT2在纤维启动阶段的高表达水平表明它可能在纤维细胞的启动过程中发挥作用。我们阐明了它们在棉花纤维发育过程中的调控机制,并显示了GhCEWT1-GhCEWT2-GhCesA4D/GhCOBL4D级联通路在促进纤维细胞伸长和细胞壁厚度的形成方面的作用。此外,这项研究挑战了纤维膨胀在SCW加厚和纤维素合成期间停止的假设。我们的研究为培育长而强的高质量棉花纤维提供了理论基础。
GhCEWT1和GhCEWT2是根毛缺陷(RHD)基因,类似于AtRHD6和AtRSL4,这些基因对于根毛的发育至关重要。四个根毛特异性的RHD基因(RHD6、RSL1、RSL4和RSL2)属于bHLH转录因子家族,已被报道共同调控根毛的生长。AtRHD6已知在根毛的启动过程中下游作用。RHD6和RSL1是必需的基因,共同促进根毛细胞的启动,而RSL2和RSL4负责根毛细胞的伸长。RHD6-RSL4-RHP1信号通路刺激根毛尖端的生长。另一方面,rhd6 rsl1和rsl4 rsl2的双突变体缺乏根毛。在拟南芥中,AtRHD3突变导致矮小和短根毛表型。这些发现表明,RHD基因参与了根毛细胞的启动和伸长。
COBL蛋白在棉花及其他植物中的功能
COBRA蛋白在棉花和其他植物中的功能也很重要。COBRA对微纤维的生物合成至关重要,并在SCW生物合成和细胞膨胀中起着重要作用。在拟南芥中,COBL10调节花粉管的定向生长。AtCOBL7和AtCOBL8通过调节保卫细胞壁中纤维素的沉积和组织来影响气孔的发育。在小麦中,TaCOBL基因响应干旱胁迫。玉米中的root hairless 3基因突变编码一个COBRA样蛋白,导致穗粒产量减少,这现象归因于限制了侧根原基的发育和根毛表皮细胞的形成。此外,在COBL突变体irx6中已报告纤维素含量显著下降,表明COBRA基因参与纤维素的生物合成。然而,COBRA基因在棉花中的作用和调控机制尚不清楚。我们的研究揭示了GhCOBL4D是纤维细胞膨胀和纤维素生成的正向调控因子。我们还发现GhCEWT2是GhCOBL4D的独特调控因子,能够直接结合GhCOBL4D启动子,增加棉花纤维中的纤维素积累。GhCEWT1和GhCEWT2的过表达(OE)增加了纤维细胞的伸长和纤维素生成,效果与GhCOBL4D的过表达(OE)相当。我们研究中发现的GhCEWT1-GhCEWT2-GhCOBL4D调控级联通路促进了纤维细胞伸长和细胞壁加厚,GhCOBL4D的作用可能有助于在这两者之间维持平衡。
研究局限性
本研究首先使用了GhCOBL4D-OE转基因棉花植株来研究GhCOBL4D的功能,但没有生成GhCOBL4D敲除株系。其次,使用了GhCEWT2-RNAi植物,而不是敲除株系,来确定GhCEWT2在棉花纤维发育中的作用。第三,我们使用RNA-seq来研究GhCEWT2的下游靶基因。然而,最好使用ChIP-seq或DAP-seq(DNA亲和纯化测序)来筛选GhCEWT2的下游靶基因。
致谢及评价
本研究得到了国家自然科学基金(32070549,32270578,32200444,32470574)、国家重点研发计划(2022YFF1002000)、新疆省科技重大专项(KC00310501)、新疆天山人才计划(2022TSYCCX0121)、陕西省科技厅科技创新团队项目(2024RS-CXTD-72)、陕西省教育厅高校青年创新团队项目(GK202307003)、香港学者计划(XJ2023014)以及中央高校基础研究基金(GK202304016)的资助。感谢LetPub(www.letpub.com)在本稿件撰写过程中提供的语言支持。



更多网友投稿经验,查看:www.letpub.com.cn/index.php?journalid=8772&page=journalapp&view=detail
📢LetPub提供的SCI论文英语润色服务对于稿件接收还是非常有用的!LetPub, 是多家出版社推荐的SCI论文润色机构,能够提高文章发表在1区/Top期刊的几率!