美国LetPub SCI论文编辑

13

手机商铺

qrcode
商家活跃:
产品热度:
  • NaN
  • 0.2999999999999998
  • 0.2999999999999998
  • 1.2999999999999998
  • 0.2999999999999998
全流程投稿协助套餐服务-- LetPub专业SCI论文编辑
¥7899 - 16899

美国LetPub SCI论文编辑

入驻年限:13

  • 联系人:

    客户服务部

  • 所在地区:

    上海 徐汇区

  • 业务范围:

    技术服务、论文服务

  • 经营模式:

    生产厂商

在线沟通

公司新闻/正文

恭喜!《Chemical Engineering Journal》发表!IF13.4的一区Top!

1232 人阅读发布时间:2025-02-25 09:29

文章已发表在SCI期刊 Chemical Engineering Journal(最 .新中科院SCI期刊分区:化学1区IF 13.4 ),评论可以沾沾好运~

标题为: Establishment of human minor salivary gland organoids in laminin-GelMA hydrogel from healthy individuals and Sjögren’s disease patients


图片

关键词:Human minor salivary gland;Organoids;Sjögren’s disease;Tofacitinib;laminin-GelMA hydrogel

摘要
位于口腔黏膜下方的人类小唾液腺(hMSGs)活检对于干燥综合征(Sjögren’s Disease, SjD)的明确临床诊断至关重要。尽管来自各种外分泌腺的类器官已被成功培养,但包含hMSGs多种细胞类型的类器官尚未成功培养。

在本研究中,我们成功建立了来自健康个体和SjD患者的hMSGs类器官的长期培养体系。这些类器官在人工层粘连蛋白-GelMA水凝胶中培养,无论是在体外受到神经递质刺激还是在体内移植后,都保留了天然腺体的表型和功能特征。

单细胞RNA测序显示,来自健康个体和SjD患者的类器官表现出独特的表型差异。此外,通过抑制JAK-STAT通路,托法替布促进了患者类器官的增殖,这表明其可能作为一种潜在的治疗策略进行进一步研究。

在此,我们从健康个体中提取类器官作为再生医学中的潜在移植材料,并开发了SjD hMSG类器官,用作探索SjD发病机制和开发治疗策略的疾病模型。

实验结果
图片

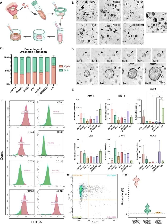
图1 在特定培养基中建立hMSG类器官

图片

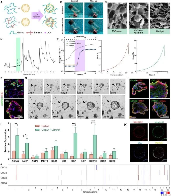
图2 人工层粘连蛋白-GelMA水凝胶的特性及hMSG类器官在该水凝胶中的形成


图片

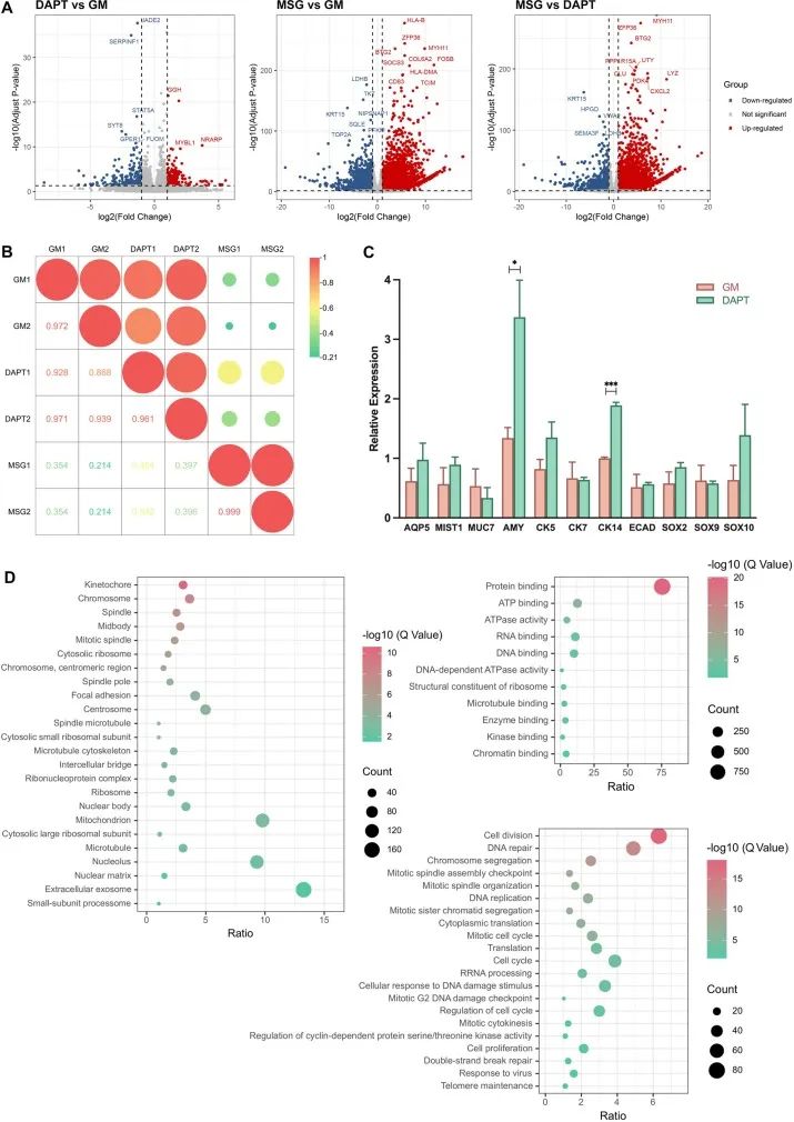
图3 DAPT促进hMSG类器官在体外的结构和功能成熟


图片图4 hMSG类器官的原位移植及其再生潜能的评估

图片

图5 非SjD类器官(ORG)和SjD类器官的培养过程、细胞异质性及腺体多样性

图片

图6 单细胞RNA测序揭示非SjD类器官和SjD类器官的独特特征

图片

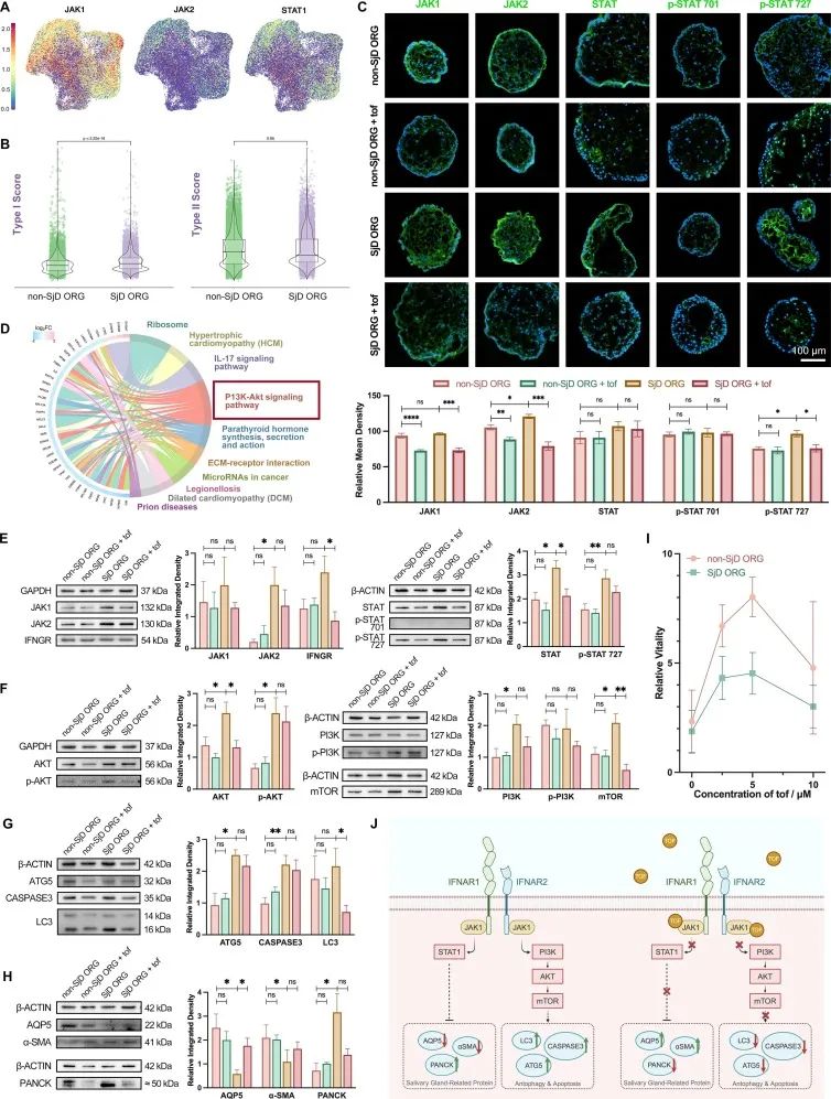
图7 托法替尼通过PI3K/AKT信号通路提高SjD类器官的存活率

图片


补充图1 hMSG类器官的培养与分析

图片


补充图2 DAPT诱导成熟的hMSG类器官基因表达分析

图片

补充图3 hMSG类器官体内移植

图片

补充图4 hMSG类器官的簇特异性基因特征及富集分析

图片

补充图5 hMSG类器官的簇特异性基因特征及富集分析(续)

图片

补充图6 在Matrigel、GelMA和Laminin-GelMA水凝胶中培养的hMSG类器官

图片

补充图7 hMSG或hMSG类器官的HE、免疫荧光及免疫组织化学染色

结论

总之,我们成功地从健康个体和干燥综合征(SjD)患者的人类小唾液腺(hMSG)中培养出了类器官

当类器官在层粘连蛋白-GelMA(而非Matrigel)上培养时,其结构标志物、组织特异性表达、功能以及遗传稳定性在多代培养中均得以保持。单细胞RNA测序(scRNA-seq)揭示了非SjD和SjD类器官中的细胞多样性和组织特异性特征。

我们的研究结果表明,hMSG类器官可用于修复受损的小鼠唾液腺。此外,我们的结果还强调了SjD类器官在测试抗SjD药物中的应用价值,并表明托法替尼(tofacitinib)可能是治疗SjD的有潜力的候选药物,值得进一步研究其治疗潜力。


致谢及评价

本项目得到了中国国家自然科学基金(项目编号:81871588)的支持。我们感谢LetPub(www.letpub.com.cn)提供的语言协助和投稿前专家审阅服务。

图片

其他已发表文章

图片

图片

更多网友投稿经验,查看:www.letpub.c
om.cn/index.php?journalid=1639&page=journalapp&view=detail


📢LetPub提供的SCI论文英语润色服务对于稿件接收还是非常有用的!LetPub, 是多家出版社推荐的SCI论文润色机构,能够提高文章发表在1区/Top期刊的几率!

上一篇

恭喜!中科院2区Top《Journal of Alloys and Compounds》影响因子创新高!

下一篇

这本1区Top能否代替总环?25年《Journal of Cleaner Production》影响因子预测!

更多资讯

我的询价