13 年
手机商铺
公司新闻/正文
748 人阅读发布时间:2025-02-25 08:16
文章已发表在SCI期刊Journal of Advanced Research(最 .新中科院SCI期刊分区:综合性期刊1区Top,IF 11.4),评论可以沾沾好运~
标题为:FOXS1, frequently inactivated by promoter methylation, inhibited colorectal cancer cell growth by promoting TGFBI degradation through autophagy-lysosome pathway

关键词:FOXS1;Methylation;TGFBI;Autophagy;Colorectal cancer
介绍:肿瘤抑制基因(TSG)通过表观遗传修饰的失活促进了结直肠癌(CRC)的发生和进展。表达谱和CpG甲基组学分析显示,叉头盒转录因子FOXS1在结直肠癌中下调并发生甲基化。
目的:评估FOXS1在结直肠癌中的生物学功能及其潜在机制。
方法:公共数据库、半定量RT-PCR、免疫组化、甲基化特异性PCR(MSP)和重亚硫酸盐基因组测序(BGS)用于分析FOXS1在结直肠癌中的表达和启动子甲基化情况。建立了稳定的FOXS1过表达或敲低细胞系。通过细胞增殖、克隆形成、流式细胞术、GFP-LC3斑点检测、Ad-mCherry-GFP-LC3B、qPCR、体内皮下肿瘤模型、RNA-seq、西方印迹、免疫荧光、共免疫沉淀(Co-IP)实验和蛋白稳定性分析,研究了FOXS1的潜在分子机制。
在结直肠癌(CRC)中,FOXS1由于启动子CpG甲基化常常下调,且作为独立的预后标志物。
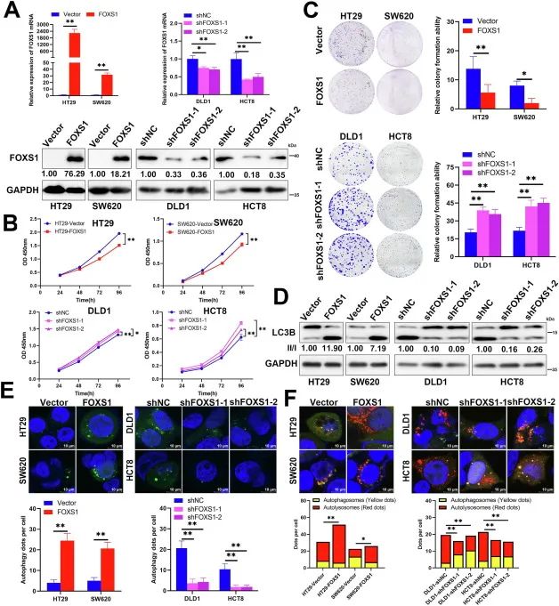
此外,FOXS1在体外和体内抑制CRC细胞的生长,同时促进CRC细胞的自噬。
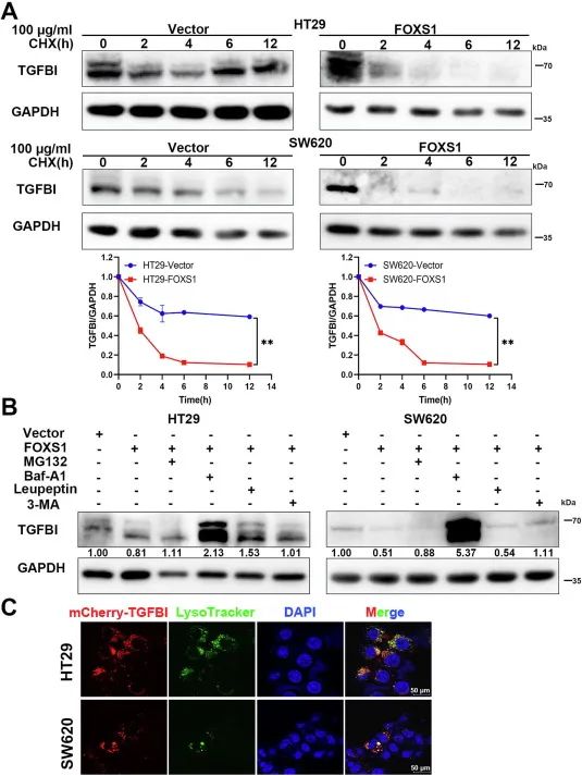
有趣的是,我们发现FOXS1与转化生长因子β诱导蛋白(TGFBI)相互作用,并通过自噬-溶酶体途径促进TGFBI的降解,而不是通过泛素-蛋白酶体系统。
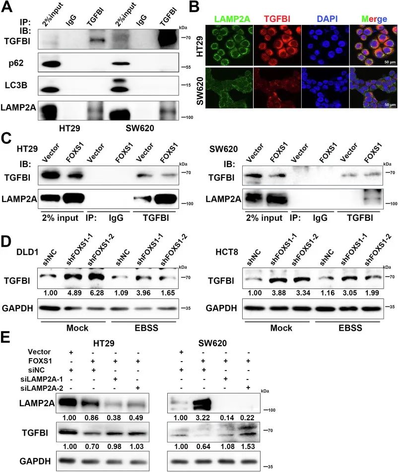
研究还发现FOXS1促进TGFBI与溶酶体相关膜蛋白2A(LAMP2A)之间的相互作用,导致TGFBI转运至溶酶体进行降解。
此外,FOXS1调节AKT磷酸化和FOXO3a核转位,促进FOXO3a下游自噬相关基因的转录。恢复TGFBI表达能够逆转FOXS1对结直肠癌细胞生长的抑制作用。


图2 FOXS1调节结直肠癌(CRC)细胞在体外的生长和自噬。(A) 通过qRT-PCR和西方印迹验证FOXS1过表达或敲低细胞中FOXS1的mRNA和蛋白表达

图3 FOXS1抑制结直肠癌(CRC)细胞的体内生长。(A和B) 通过在裸小鼠中建立异种移植肿瘤模型,使用过表达FOXS1的HT29细胞或FOXS1敲低的DLD1细胞

图4 FOXS1降低TGFBI的表达并与TGFBI蛋白相互作用

图5 FOXS1通过自噬-溶酶体途径下调TGFBI

图6 TGFBI与LAMP2A相互作用,且FOXS1在TGFBI与LAMP2A之间的相互作用中起着必需的作用

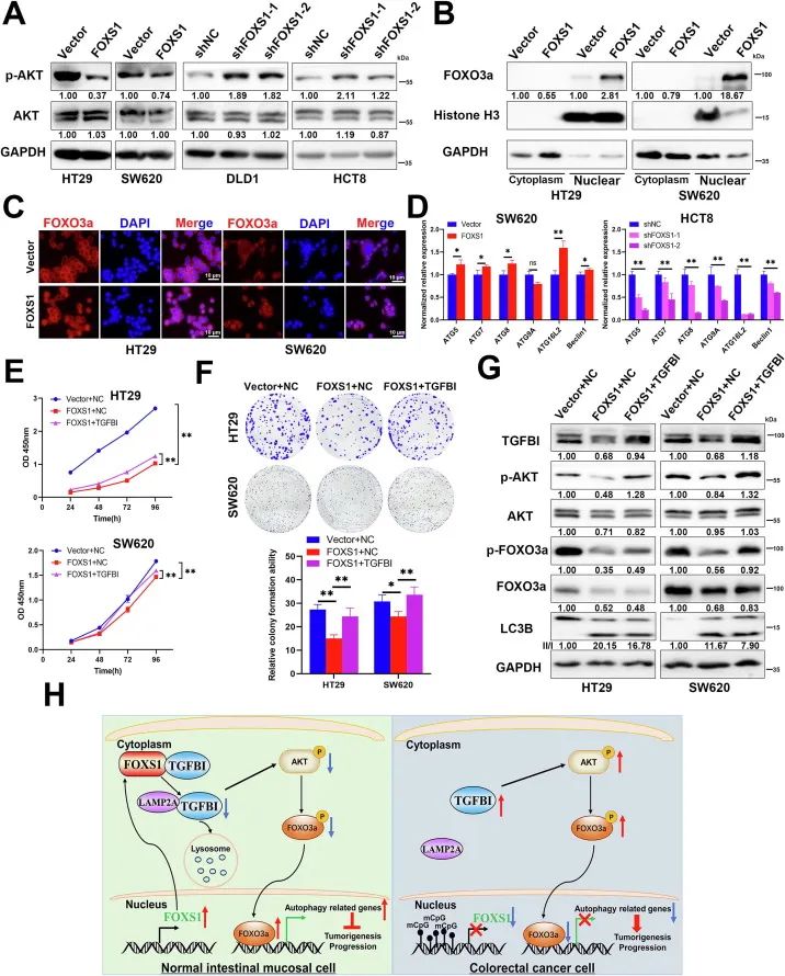
图7 FOXS1通过转录FOXO3a下游的自噬相关基因以及TGFBI/AKT/FOXO3a信号通路调节结直肠癌(CRC)细胞的生长
FOXS1作为一个肿瘤抑制因子,在结直肠癌(CRC)中通过甲基化失活,促进TGFBI的溶酶体降解,调节细胞生长并通过TGFBI/AKT/FOXO3a信号通路促进自噬。这些发现表明,FOXS1具有作为结直肠癌潜在生物标志物和治疗靶点的前景。

Received 20 October 2024
Revised 24 December 2024
Accepted 24 January 2025
Available online 24 January 2025


更多网友投稿经验,查看:www.letpub.c
om.cn/index.php?journalid=10375&page=journalapp&view=detail
📢LetPub提供的SCI论文英语润色服务对于稿件接收还是非常有用的!LetPub, 是多家出版社推荐的SCI论文润色机构,能够提高文章发表在1区/Top期刊的几率!